dzul_dental@yahoo.com

Megan Avenue 1: +603 21611868 Damansara Utama : +603 77284297

Patients Gallery

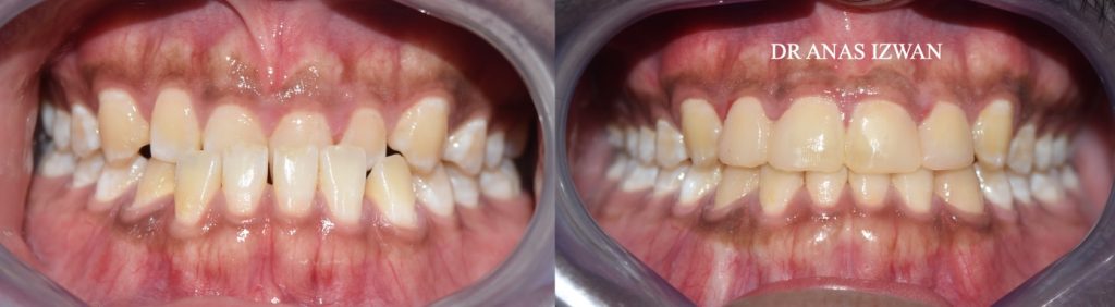
Forward upper teeth

Complain: Protruding upper teeth

Problem: High overjet, deep overbite

Treatment: 2 upper premolar extractions, fixed orthodontic therapy

 

Canines displaced, crossbites

Complain: High canine position, crowding

Problem: lack of space

Treatment: Upper lower first premolar extraction

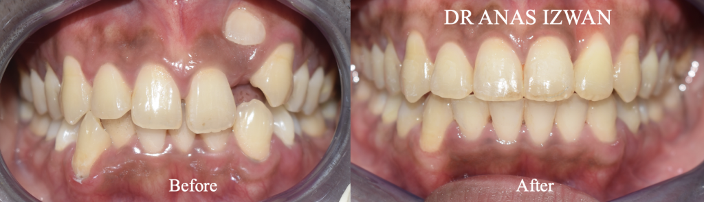
Trapped upper lateral incisor

Complain: Unerupted upper lateral incisor

Problem: Crossbite, lack of space

Treatment: Non-extraction orthodontic treatment

Advantage: No extraction, profile improved

Reverse bite

Complain: Reverse bite

Problem: Crossbite, lack of space

Treatment: Non-extraction orthodontic treatment

Advantage: No extraction, profile improved

Milk teeth retained Management

Alignment before Dental Implant


Abnormal Bone Growth Management